- Common in young patients with sports-related injuries and older patients as a degenerative condition 
- Medial meniscus is more often injured. 
- Acute ACL injury : think of lateral meniscus 
- Symptoms : - Pain , especially in a hyper flexed knee 
- Articular effusion 
- instability 
- Flessum ( if bucket handle) 
 
- Imaging - Xray should be normal. Evaluate tibial slope and varus/valgus deformity 
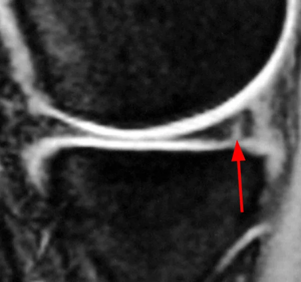
- MRI: gold Standard 
- Arthroscan (Especially for partial tears) 
 
Radial amputated meniscus
Radial tear
Horizontal tear
longitudinal vertical tear
Treatment
- rest, NSAIDS, rehabilitation : for degenerative lesions 
- Meniscal suture: best results with vertical longitudinal tears in the red zone (or red-white) 
- Partial menisectomy (for meniscal tears that can not be sutured) 
- Meniscal subtitute / allograft : rarely done (lack of long term results) 
Meniscal suture
Meniscectomy
 
             
             
             
             
             
            