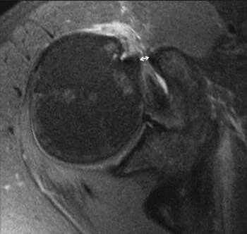
Shoulder Impingements
Subacromial impingement resulting in bursa’s inflammation and friction on the tendon
www.howtorelief.com/shoulder-impingement-syndrome-symptoms-causes-diagnosis-treatment/
Sub-acromial impingement
- Most common cause of shoulder pain 
- combination of extrinsic factors (Coraco-acromial ligament, AC joint, anterioracromion) and intrinsic factors (degeneration of the supra-spinatous, causing the ascenssion of the humeral head. 
- Patients usually suffer from pain, especially in over-head activities 
- Xrays and MRI are generally required. 
- First line treatment: MEDICAL : NSAIDs, physiotherapie, sling, infiltration 
- Surgery (if medical treatment fails): subacromial decompression / acromioplasty +/- rotator cuff repair if needed. 
Subcoracoid impingement
- Subcoracoid impingement is defined as impingement of the subscapularis between the coracoid and lesser tuberosity, especially when the arm is in adduction,flexion, and internal rotation 
- Xray is needed. 
- CT scan obtained with the arms crossed on chest is helpful to make the diagnosis: a coracohumeral distance of < 6 mm is considered abnormal (normal is 8.7 mm in the adducted arm 6.7 mm in the flexed arm) 
- MRI is useful to evaluate the rotator cuff condition 
- Corticoid + Xylocaine local injection can make the diagnosis. 
- First line treatment: conservative : NSAIDs, physiotherapie, infiltration 
- If failure, surgery is required for coracoplasty +/- subscapularis repair (open or under arthroscopie) 
 
             
             
            