Elbow Fractures
Distal Humerus Fractures
Distal humerus fractures are traumatic injuries that include
- supracondylar fractures 
- single column (condyle) fractures 
- bicolumn fractures 
- coronal shear fractures 
Classification AO/ATO
- Type A: Extraarticular (supracondylar fracture),80% are extension type; epicondyle 
- Type B: Intraarticular-Single column (partial articular-isolated condylar, coronal shear, epicondyle with articular extension) 
- Type C: Intraarticular-Both columns fractured and no portion of the joint contiguous with the shaft (complete articular) 
Distal humerus can be described as 2 columns and a Trochlea
Clinical presentation
- Elbow swelling and pain 
- Gross instability 
- Always check distal pulse (brachial artery cna be injured) and neurologic exam(radial, ulnar, - and median nerves) 
- Check for Volkmann syndrome 
Imaging
- Xrays : AP + Lateral. - FAT PAD sign, if present, shows the presence of infra-radiological fracture 
 
- CT scan : for communitive or coronal fracture or articular fracture 
- MRI : for avulsion fractures in pediatrics ( non ossified) 
Xray
Capitellum fracture
CT scan for communitive fracture
MRI for a non ossified avulsion
Treatment
- concervative treatment for non displaced fractures with an intact lateral trochlea 
- Osteosynthesis 
- Prosthesis ( joint replacement) in communitive fractures in elderly people 
Osteosynthesis: perpendicular plating
Osteosynthesis (parallel plating)
Capitellum fracture (coronal fracture)
Prosthesis
Prognosis
- Majority of patients regain 75% of elbow motion and strength 
- Goal is to restore elbow ROM 30-130° of flexion 
- Unsatisfactory outcomes in up to 25% - treatment of these fractures is complex due to - low fracture line of one or both columns 
- metaphyseal fragmentation of one or both columns 
- articular comminution 
- poor bone quality 
 
 
Complications may be Elbow stiffness, nonunion, malunion, AIN injury ( with olecranon osteotoomy), Ulnar nerve injury, heterotopic ossification
Radial head fractures
- Mechanism of injury: fall on outstretched hand, elbow in extension + forearm in pronation - (most force transmitted from wrist to radial head) 
- Associated conditions - lateral collateral ligament (LCL) injury (80%) 
- Medial collateral ligament (MCL) injury 
- Essex-Lopresti injury - distal radioulnar joint (DRUJ) injury 
- interosseous membrane disruption 
 
- Elbow dislocation 
- Wrsit / scaphoid fracture 
 
Masson classification : 4 types
Clinical presentation
- Pain and stiffness (elbow), especially in prono- suppination 
- Mechanical blocks 
- Check forearm and wrist (DRUJ, interosseous membrane) 
- Check for ligamentous laxity (LCL) 
Imaging
- Xray AP+ L 
- CT scan to evaluate communition and displacement 
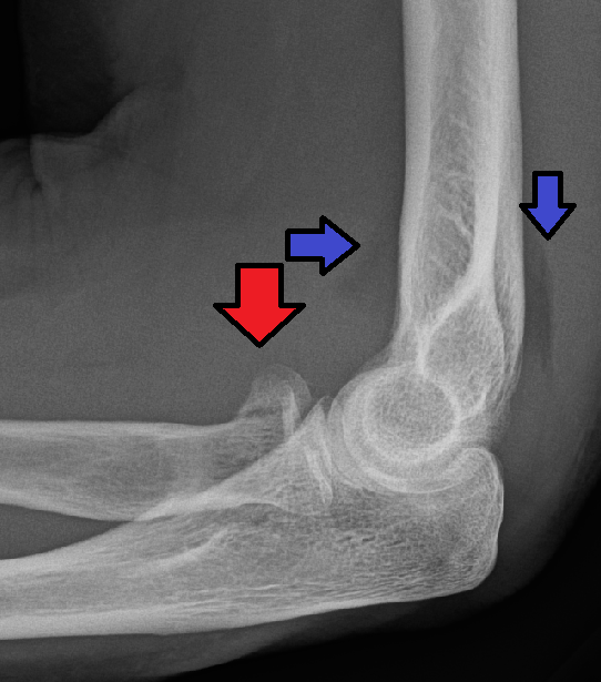
Xray (red arrow)
(blue arrow is for Fat Pad sign)
CT scan
Treatment
- Short period of immobilization followed by early ROM ( Mason 1) 
- Osteosynthesis 
- Prosthesis for communitive fracture - There is no place in trauma for radial head excision : High rate of instability 
 
Screws
Mini-plate & screws
Prothesis
Potential complications: heterotopic ossifications, stiffness, posterior interosseous nerve damage, infection…..
Olecranon fractures
- Olecranon fractures are frequent. 
- Secondary to a direct blow on the elbow (communitive fractures), or after a fall onto outstretched upper extremity (transverse or oblique) 
- Treatment - Conservative : immobilisation and begin early mobilisation: in elderly or low demanding patients 
- Surgical: - Tension band wiring 
- Intramedullary screw 
- Plate & screws: communitive fractures 
- Resection + triceps advancement 
 
 
Mayo classification
Tension bande wiring
Plate & screws
Intramedullary screw
Resection + triceps advancement
Complications: stiffness, heterotopic ossifications, non union, symptomatic hardware, flessum….
 
             
             
             
             
             
             
             
             
             
             
             
             
             
             
             
             
             
             
             
             
             
            